Diabetes y salud dental: cuidados y prevención
La relación entre la Diabetes y los dientes es más cercana de lo que podríamos pensar. La salud bucal es un reflejo de nuestro estado de salud general, y cuando una persona vive con esta condición médica, se deben tomar ciertos cuidados especiales para mantener una sonrisa sana. La glucosa elevada puede ser un problema para la salud bucal, ya que favorece el crecimiento bacteriano y la formación de placa dental.

Si te estás preguntando cómo afecta la Diabetes a tus dientes y encías, este artículo es para ti. La diabetes puede causar problemas específicos en los dientes y encías, como la enfermedad de las encías, aumentando el riesgo de complicaciones graves.
¿Qué provoca la Diabetes en los dientes?
La Diabetes tiene un impacto directo en nuestra salud bucal. Estas son las principales formas en que se manifiesta: Las personas con diabetes tienen predisposición a sufrir diversas afecciones bucales, incluyendo alteraciones de los tejidos conectivos y problemas en la lengua.
-
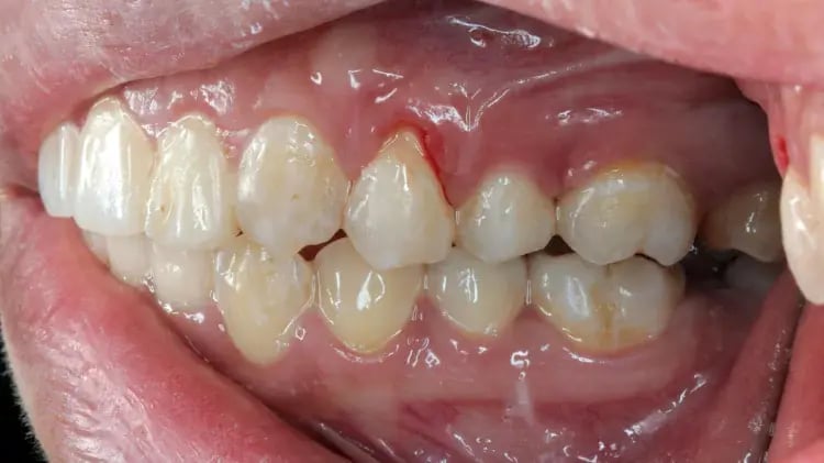
Encías inflamadas o sangrantes: las personas con Diabetes suelen tener niveles más altos de azúcar en la sangre, lo que puede propiciar infecciones en las encías. Es crucial mantener el nivel de azúcar controlado para prevenir complicaciones.
-
Sequedad en la boca: una disminución en la producción de saliva puede derivar en caries, ya que la saliva actúa como un protector natural para nuestros dientes. Además, las personas con diabetes tienen una predisposición a infecciones por hongos como la candidiasis.
-
Caries: al aumentar los niveles de azúcares en nuestra saliva, se alimentan las bacterias que causan caries.
-
Enfermedad periodontal: la Diabetes reduce la capacidad del cuerpo para combatir bacterias, por lo que las personas que viven con esta condición son más susceptibles a graves infecciones en las encías. La periodontitis puede resultar en una infección de las encías que compromete el tejido y el hueso de soporte de los dientes. Además, existe una relación directa entre la diabetes y la enfermedad de las encías.
-
Caída de dientes en diabéticos: las infecciones y enfermedades en las encías pueden comprometer la estructura de los dientes, provocando su caída.
¿Por qué los diabéticos son más propensos a problemas dentales?
El vínculo entre la diabetes y los problemas dentales radica en el efecto de los altos niveles de azúcar en la sangre en el cuerpo. Aquí hay algunas razones clave:
-
Glucosa elevada: En personas con diabetes no controlada, los niveles altos de glucosa en la sangre también se reflejan en la saliva. Esto crea un entorno favorable para las bacterias, aumentando el riesgo de infecciones dentales y enfermedad de las encías.
-
Respuestas inmunes debilitadas: La diabetes puede reducir la capacidad de tu cuerpo para combatir infecciones, lo que significa que tu boca podría tener problemas para defenderse de las bacterias que causan enfermedades.
-
Problemas de circulación: Un flujo sanguíneo reducido dificulta la llegada de nutrientes esenciales a los tejidos de las encías, al mismo tiempo que retrasa el proceso de reparación y cicatrización.
Por tanto, el control tanto de la diabetes como de la higiene oral es clave para reducir riesgos a largo plazo.

Prevención y cuidado para la salud dental en diabéticos
La buena noticia es que con los pasos adecuados, las personas con diabetes pueden reducir significativamente el impacto de la enfermedad en su salud oral. Aquí hay algunas recomendaciones prácticas:
1. Mantén una dieta balanceada y bajo control
Consumir alimentos ricos en nutrientes y bajos en carbohidratos refinados no solo mantendrá estables tus niveles de glucosa, sino que también reducirá la probabilidad de problemas dentales. Aumenta el consumo de frutas, vegetales, proteínas magras y granos integrales.
2. Practica una higiene oral rigurosa
-
Cepilla tus dientes al menos dos veces al día, utilizando pasta dental con flúor.
-
Usa hilo dental diariamente para limpiar entre los dientes.
-
Considera el uso de un enjuague bucal antiséptico para reducir bacterias.
3. Programa visitas regulares al dentista
Acude al dentista al menos dos veces al año para chequeos y limpiezas profesionales. Si tienes algún problema dental, como sangrado de encías o dolor persistente, busca atención inmediata.
4. Monitorea tu nivel de azúcar en sangre
El control adecuado de la diabetes es esencial para evitar complicaciones, incluidas las relacionadas con la salud bucal. Sigue el plan de tratamiento indicado por tu médico y realiza mediciones regulares de glucosa.
5. No minimices los síntomas bucales
Observa cualquier signo de enfermedad oral, como encías rojas, inflamadas o que sangran; sequedad en la boca; o dolor persistente. Informar a tu dentista lo antes posible puede prevenir problemas mayores.

Cuidar de tu boca es cuidar de tu diabetes
Si notas alguno de los siguientes síntomas, es fundamental que acudas a un especialista lo antes posible:
-
Encías rojas, hinchadas o que sangran fácilmente.
-
Sensación constante de sequedad en la boca.
-
Mal aliento persistente.
-
Movilidad o separación de los dientes.
-
Dificultad al masticar o sensibilidad en los dientes.
La diabetes aumenta el riesgo de desarrollar problemas dentales, como la enfermedad de las encías, por lo que es esencial mantener un buen control de la glucosa en sangre para reducir estos riesgos.
La relación entre la diabetes y la salud oral es un recordatorio más de cómo todo en el cuerpo está conectado. Una buena salud dental no solo mejora tu calidad de vida, sino que también ayuda a mantener bajo control tus niveles de glucosa en sangre. Cuidar ambos aspectos de manera consistente reducirá problemas futuros, ofreciéndote tanto una sonrisa más saludable como un bienestar general.
Si tienes diabetes, comienza asegurándote de que tanto tu médico como tu dentista estén al tanto de tu condición. Y recuerda, pequeños pasos diarios pueden marcar una gran diferencia.

El papel de Clivi en tu salud bucal
En Clivi, entendemos la relación entre la Diabetes y la salud bucal. Ofrecemos servicios especializados para quienes viven con esta condición, asegurando un cuidado óptimo y personalizado.
Nuestro equipo está preparado para atender tus necesidades y darte las mejores recomendaciones para mantener tu sonrisa brillante y saludable.
Vivir con esta condición médica implica cuidar de varios aspectos de nuestra salud, y la salud bucal es uno de los más importantes. Afortunadamente, con los cuidados adecuados y el apoyo de especialistas, es posible mantener una boca sana.
Mantener una buena relación entre tu Diabetes y tus dientes es esencial para tu bienestar general.
Si estás interesado en recibir más consejos y apoyo para mantener tu sonrisa saludable y controlar tu Diabetes, te invitamos a registrarte. Descubre cómo nuestro tratamiento especializado puede marcar la diferencia en tu vida. Tu bienestar es nuestra prioridad. Regístrate ahora y da el primer paso hacia una sonrisa radiante y una vida saludable.
Resultados de 47 pacientes:
¿Cuál será tu resultado?
Descubre tu pronóstico personalizado


